猫の縦隔型リンパ腫

症例

11歳11か月 Mix猫 避妊雌

来院理由

咳がでていて呼吸も荒い

食欲低下

身体所見

努力呼吸が認められた 

心雑音は認められなかった

検査

<胸部超音波検査>

胸水貯留が認められた(図1)。

図1 抜去した胸水

呼吸状態の改善のため鎮静下で胸水を抜去した。呼吸が落ち着いたことを確認した後に心臓のエコー検査を実施したが異常は認められなかった。

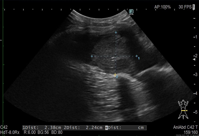
その後胸腔内を超音波で確認していくと前胸部に腫瘤が認められたため、この部分に対して針生検を行った(図2)。

図2 胸腔内の腫瘍が認められた。抗がん剤治療開始後にはこの腫瘍は消失した

<腹部超音波検査>

異常は認められなかった

<細胞診>

腫瘤:大型のリンパ球が大量に認められた

胸水:腫瘤内と同様の大型リンパ球が認められた

→以上より低分化型のリンパ腫を疑った。確定診断のために外部の検査センターに細胞診とクローナリティ検査を委託した

<外部細胞診及びクローナリティ検査>

リンパ腫を疑う所見で、Bリンパ球のモノクローナルな増殖が認められたためB細胞型の低分化型リンパ腫という診断結果であった

<血液検査>

異常は認められなかった

<レントゲン検査>

胸水貯留の為心臓や腫瘤の構造が不明瞭となり、評価が困難であった

治療方針

化学療法による治療を行った

経過

はじめは状態も悪く、オーナーも積極的な抗がん剤の使用を悩まれていたため強めの抗がん剤は使用せずにL-アスパラギナーゼを週一回、計2回投与した。この間も胸水の貯留は認められたが溜まる速度は減少傾向であった。2回投与した後に呼吸の様子や食欲が戻りつつあり、積極的な治療の希望があったためオーナー様の都合や患者が臆病な性格であったためなるべく精神的ストレスを軽減しながら治療強度を維持する目的で高用量シクロホスファミドを3週間毎に投与する方法で治療開始した。1回目投与後の再診の段階で腫瘍は完全に無くなり、胸水の貯留も認められなかった。その後は定期的に抗がん剤投与と胸水の有無、腫瘍の再増殖がないかを確認しているが今のところ再発は認められておらず本人の体調も良好である。

獣医師からのコメント

猫の胸水貯留の原因でまず考えなければいけないのが心疾患です。この子は心疾患が否定的であったため別の要因を考える必要がありました。心疾患の次に考えるべきは腫瘍の存在です。肺腫瘍に関しては猫ではリンパ腫が多く認められ、ほかには腺癌、扁平上皮癌、肉腫、胸腺腫、他腫瘍の肺転移など様々な腫瘍が発生する可能性があります。この子も検査によってリンパ腫と診断することでき、治療により現在は抗がん剤投与の為に通院する必要があるという点以外は普通の生活を送れるようになりました。

抗がん剤と聞くと怖いイメージを持たれる方もいらっしゃいますし、実際我々も副作用が軽減されるように工夫して使用しておりますが全ての抗がん剤で一律に副作用が強いというわけではない、ということを知っていただきたいです。

この子も抗がん剤の副作用はほぼなく(軽度の鼻周りの脱毛はありました)、オーナー様も以外と何も起こらなくて拍子抜けした、とおっしゃっていました。

もちろん個体差はあるので絶対、ということではありませんが、その子に合った治療を提案できるように心がけておりますのでもしお困りのことがございましたらお気軽にご相談してください。

担当獣医師のお名前

小島 大輝

よかったらシェアしてね!
  • URLをコピーしました!
  • URLをコピーしました!
目次
閉じる