- 診療時間
-
- 9:00~12:00/16:00~20:00/22:00~6:00
- 年中無休 365日診療(夜間診療:5/8(金)~ 金・土・日・月のみ)
① 症例
0歳7ヵ月 トイ・プードル 雌
② 来院理由
③ 身体所見
左後肢挙上
左股関節伸展時に疼痛反応がみられた
④ 検査
【血液検査】
・明らかな異常は認められず
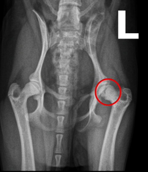
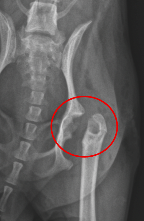
【レントゲン検査】
・同肢の骨頭にパンチアウト像および亀裂を示唆する所見がみられた (図1)
・骨折や脱臼を疑う所見は認められず

⑤ 治療方針
上記の症状および犬種、年齢から「レッグ・カルベ・ペルテス病」を疑い、大腿骨頭切除術を行った。
また、同時に卵巣子宮摘出術も併せて実施した。







⑥ 経過
術後経過良好の為、手術5日後に退院し自宅でのリハビリを実施してもらった。
リハビリ:股関節の屈伸運動×90~100回/日
獣医師からのコメント
レッグ・カルベ・ペルテス病は大腿骨頭部の成長板への血流が不足し、骨が虚血によって無菌性に壊死してしまう不可逆性の疾患です。小型犬に多く認められおり、好発犬種としてトイ種やテリア種が挙げられます。4-11ヵ月と若齢で発症し、片側にのみ認められることが多いです。壊死が軽度の症例は無症状のことがありますが、肢を時々上げたり、急に全く肢を着かなくなってしまうなど、程度によってさまざまな症状がみられます。壊死部が骨折してしまうと、急性に後肢を付かなくなり痛みを伴います。上記のような症状や、歩行時の違和感がありましたら当院までご相談ください。
担当獣医師のお名前
栗原 万夢




